Аллергия на попугаев достаточно коварное заболевание, оно может проявиться и не сразу, а спустя несколько недель после того, как вы стали хозяином экзотической птицы.
Аллергической реакции подвержены как дети, так и взрослые люди, а предугадать возникновение неприятной симптоматики можно только при помощи специального обследования.
Ну а теперь подробнее.
Может ли попугай быть виновником аллергических реакций?
Как известно, любая аллергическая реакция нашего организма — это специфическое реагирование иммунитета на контакт с чужеродными белками.
В случае с попугаем этим чужеродным веществом является белок, находящийся в перьях птахи, в чешуйках ее кожи, помета.
Организм любого человека реагирует на этот белок по-разному, в большинстве случаев иммунитет приспосабливается и никаких изменений в самочувствии не наблюдается.
У части людей могут при контакте с мельчайшими аллергенами развиться разные признаки непереносимости.
Альвеолит
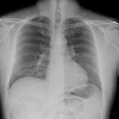
Реакция непереносимости на попугая опасно возможным развитием альвеолита, то есть поражением легких.
При такой реакции на альвеолах образуются уплотнения, которые значительно снижают проходимость воздушного потока и этим самым вызывают самую тяжелую симптоматику болезни.
Альвеолит не всегда развивается сразу, обычно ему предшествуют респираторные проявления аллергической реакции.
В тяжелых случаях лечение альвеолита предполагает долгое нахождение в стационаре, где будет проводиться нужная терапия и контроль над дыхательной функцией.
К сожалению, при аллергии на попугаев единственный вариант вновь стать полностью здоровым это отказаться от содержания в доме этой птахи.
Как узнать есть ли у Вас аллергия на попугая
Поэтому чтобы не было разочарования в дальнейшем лучше всего заранее узнать может ли у членов вашей семьи быть непереносимость белка птицы.
Сделать это можно несколькими способами:
- Пройти обследование у аллерголога с проведением специальных тестов и кожных проб.
При возможном риске развития аллергической реакции на птицу лучше всего отказаться от ее приобретения или делать это можно только в том случае, если для птахи есть возможность выделения отдельной комнаты в доме.
Риск развития аллергической реакции повышен у тех людей, которые страдают от непереносимости других аллергенов, неважно пищевые они, респираторные или контактные.
Также возможен первый дебют болезни и при низком функционировании иммунной системы.
Поэтому, если в семье имеются люди с такими нарушениями, то заводить попугая специалисты не советуют.
Что именно провоцирует аллергию на попугаев
Основная причина развития непереносимости попугая — это особый птичий белок.
Содержится он в большом количестве в слюне и потому выделяется вместе с пометом.
А так как попугайчики всегда много внимания уделяют своему оперению, то белок остается и на перьях и чешуйках кожи, откуда выделяется в окружающее пространство.
Вызвать аллергическую реакцию могут и мелкие клещи-паразиты, вернее результаты их жизнедеятельности.
Эти клещи находятся на теле птахи и потому после покупки желательно сразу провести нужную обработку птицы при помощи специальных препаратов.
Выделяемый птицей белок настолько мелкий и легкий, что он легко перемещается в квартире на любые расстояния.
Этот аллерген оседает на мягких тканях, в ворсе ковров, на одежде, шторах. Поэтому аллергическая реакция возникает даже в том случае, если прямой контакт с птицей не происходит.
Иногда причиной аллергии после приобретения попугая становится не сама птица, а некоторые виды корма, приобретенного для кормления птахи.
У части людей аллергическая реакция возникает на зерновые культуры, витаминные добавки. Чтобы проверить этого опять же необходимо пройти полное обследование.
Основные симптомы аллергической реакции на попугаев
Мельчайший аллерген в организм человека проникает в основном через дыхательные пути и оседает на слизистых оболочках и потому признаки болезни охватывают в основном респираторных органы.
Чувствительность организма к аллергенам значительно повышается в период линьки птахи и тогда, когда хозяин занят уборкой места проживания попугая.
Чаще всего вначале возникает аллергический ринит и конъюнктивит, проявляются эти болезни известной симптоматикой:
- Возникает зуд слизистых оболочек – носовых ходов, ротовой полости, горла, склер глаз;
- Отечность приводит к появлению обильного секрета. При этом из носовых ходов выделяется большое количество светлой жидкости, появляется слезотечение из глаз;
- Слизистая глаз краснеет, веки могут отекать;
- Першение в горле приводит к развитию кашля.
Если аллерген воздействует на организм человека длительно, то ухудшается обоняние, появляются частые головные боли, возможно носовое кровотечение.
У детей нередко наблюдаются приступы астмы. Проявляется эта патология кашлем, ухудшением дыхания, приступами одышки.
Самое тяжелое проявления аллергии на белок попугая это альвеолит, протекать эта болезнь может остро, подостро или хронически.
Острое развитие заболевания чаще всего наблюдается именно у детей при значительном оседании частиц аллергена в нижних дыхательных путях, проявляется это следующими признаками:
- Примерно через 6 часов после контакта с аллергеном возникает одышка, озноб;
- Больной жалуется на слабость, приступы ухудшения дыхания;
- Может наблюдаться цианоз.
Эти признаки свидетельствуют о тяжелом развитии болезни, поэтому необходимо как можно быстрее прервать контакт с возможным аллергеном и получить медицинскую помощь.
Но все-таки чаще всего аллергический альвеолит развивается постепенно на фоне уже имеющегося ринита и конъюнктивита.
Обратить внимание родители заболевшего ребенка должны на следующую симптоматику:
- На появление периодических приступов кашля и одышки;
- На жалобы ребенка на слабость, боли в костях и мышцах;
- На снижение аппетита и на уменьшение массы тела.
Хронический альвеолит может протекать с периодами обострения и значительного затихания болезни.
Но самочувствие полностью восстановится только в том случае, если исключить в дальнейшей жизни контакт с аллергеном.
Симптоматические проявления
Повышенная чувствительность человеческого организма к различным аллергенам (белкам, которые входят не только в состав слюны, но и содержатся в перьях и экскрементах всех птиц) начинает проявляться различными тревожными симптомами:
1Внезапно краснеют и отекают глаза, появляется повышенная слезоточивость, жжение и зуд — все это становится признаком развития аллергического конъюнктивита. Если человек перестает контактировать с птицей – неприятные симптомы сразу же проходят. 2Аллергический ринит сразу же выражается насморком, заложенностью носа и постоянным чиханием. Из носовой полости появляются обильные слизистые выделения, которые больной пытается лечить различными сосудосуживающими препаратами. Такое самолечение не только не приносит желаемого облегчения, но и усиливает проявление всех симптомов патологии, а также приводит к появлению некоторых осложнений – носовых кровотечений и головных болей. 3Могут появляться признаки удушья – дыхание затрудняется, ощущается нехватка воздуха, появляется сухой, раздражающий кашель и хрипы в легких, особенно заметные при вдохе или выдохе. 4Значительно реже появляются высыпания на коже, которые сопровождаются зудом и покраснением, иногда отеком.
Если появились подобные симптомы, то аллергия на попугаев — это наиболее рациональное объяснение, особенно если птица появилась в доме или окружении человека недавно. Наиболее сильное проявление, а также резкое обострение симптомов чаще всего проявляется при тесном контактировании человека с птицей – при чистке клетки, мытье кормушек, кормлении домашнего любимца, или же при прямом общении с попугаем.
Этиология явления
Почему же так происходит? Отчего может быть аллергическая реакция? Давно известно, что аллергия, или специфическая реакция иммунитета человека, возникает при попадании в его организм чужеродного белка. Иммунитет каждого человека откликается на такие вещества по-разному – в большинстве всех случаев организм к ним «приспосабливается» и никаких неожиданных патологических изменений в здоровье или самочувствии человека просто не наблюдается. Но, в некоторых случаях, иногда даже при незначительном контакте с мельчайшими частицами аллергенов может проявиться их явная непереносимость.
Как проявляется аллергия у детей на попугая? Одинаково со взрослыми? Нет. Наиболее сильная реакция иммунитета у детей – у ребенка патологическое состояние развивается гораздо быстрее, чем у взрослого человека, признаки его проявления более тяжелые, а последствия могут стать практически необратимыми. Это объясняется еще полностью несформированной иммунной системой ребенка. Медики и ученые давно пришли к однозначному выводу: аллергия, или патологическая реакция организма, возникает либо по причине контакта иммунной системы с белком-антигеном птицы, либо в результате его отравления продуктами распада и жизнедеятельности паразитов — клещей, которые заводятся в перьях многих попугаев. В достаточно редких случаях патологический процесс может вызывать не сам попугай, а вещества, входящие в состав корма для птиц – некоторые злаки и зерновые или витаминные добавки воспринимаются иммунитетом человека как потенциальная угроза, что провоцирует резкий выброс гистамина в кровь и развитие аллергии.
Аллергический альвеолит
Аллергия на птиц развивается и появляется точно также — все дело именно в этом белке – антигене, который содержится в большом количестве в слюне птицы. При очистке перьев, когда попугай совершает гигиенические процедуры, мельчайшие частички вещества попадают в окружающий воздух. Человек вдыхает их – те, что покрупнее, задерживаются в носовой полости или трахее, вызывая ринит, а те, что помельче – попадают сразу в легкие, вызывая аллергический альвеолит. Он редко развивается быстро и сразу – вначале обычно появляются различные респираторные проявления патологического процесса.
Может ли быть аллергия на птиц быть опасна для жизни? Одной неприятной особенностью этого заболевания является то, что ухудшение состояния человека происходит достаточно медленно и практически бессимптомно. Аллергия на попугаев считается очень опасной – она влияет непосредственно и сразу на легкие человека. Под воздействием птичьего белка альвеолы значительно уплотняются, что приводит к затруднению, а иногда и потере, дыхания. Кислород не поступает в легкие в достаточном количестве, отчего, особенно во время обострения аллергической реакции, происходит уменьшение их объема – практически в 2-3 раза. Заболевание может развиваться в нескольких формах – все зависит и от длительности и частоты контакта человека с антигеном, и от особенностей его иммунной системы:
1Острая форма патологии, уже через несколько часов после непосредственного контакта с аллергеном, начинается с проявления достаточно заметных симптомов: повышения температуры, озноба и появления сильной одышки. Возникают резкие мышечные боли, начинает болеть голова , а также появляется раздражающий кашель с обильным отделением мокроты. 2Подострая форма выражается более слабыми признаками, что иногда не позволяет сразу заметить связь между развитием заболевания и контактом с попугаем. Симптомы проявляются более слабо, у человека незаметно возникает постоянное ощущение усталости, появляется слабость, возможно снижение массы тела. Больного все время мучает кашель, который не проходит после лечения. 3Иногда патологический процесс переходит в хроническую форму. Человек практически полностью теряет аппетит, головные и мышечные боли, а также кашель становятся его постоянными «спутниками». При физических нагрузках, даже незначительных, появляется сильная одышка, больной достаточно быстро утомляется.
Аллергия у детей, да и у взрослых, требует тщательного диагностирования и своевременного лечения. Иначе патологические процессы, протекающие в организме, становятся необратимыми. Для диагностирования типа аллергической реакции следует как можно быстрее сдать лабораторный анализ крови на чужеродные антитела — вне зависимости от того, принимает ли больной антигистаминные лекарственные препараты. Повышенный уровень иммуноглобулина в сыворотке крови пациента свидетельствует не только о наличии, но и уровне развития аллергии.
Заболевание успешно лечится только при применении комплексной терапии:
- Полное ограничение пациента от контакта с вызывающим патологический процесс аллергеном.
- Антигистаминная терапия лекарственными средствами и препаратами. В том случае, когда патологическая реакция затронула легкие, обязательно назначаются лекарственные средства бронхолитического действия.
- Кислородные ингаляции, восстанавливающие нарушенную функцию дыхания, специальный комплекс упражнений дыхательной гимнастики и массаж грудной клетки.
Кроме лечения назначенными врачом методами и препаратами, необходимо регулярно проводить тщательную помещения, желательно влажную, а также избавиться от самого «аллергена» — попугая придется кому-то дарить, либо вернуть обратно, в зоомагазин.
Профилактика появления аллергии
Попугаи – достаточно популярные и распространенные домашние питомцы, которые не только доставляют своим владельцам огромное количество положительных эмоций, но и способны улучшить настроение и самочувствие хозяев. Общение с ними помогает снять напряжение, стресс и способно развеселить не только детей, но и взрослых. Забота, кормление и уход за птицами отвлекают от тяжелых или грустных мыслей и невольно помогают полностью переключить напряженное внимание, а детей приучают к ответственности и доброте. Но ощущение радости от общения с домашним любимцем внезапно омрачается, когда начинают проявляться неприятные и опасные симптомы аллергии.
Чтобы этого избежать, необходимо, прежде чем «заводить» птицу, проверить в специальной лаборатории кровь каждого члена семьи на то есть ли у них аллергическая реакция на попугая. Результат такой проверки поможет достаточно точно определить, можно ли взрослому или малышу контактировать с этой птицей, или же будет лучше вообще отказаться от желания ее приобрести. Данные действия также помогут избежать горечи разочарования и грусти при расставании с вновь обретенным питомцем.
Могут ли попугаи вызвать аллергию?
Аллергигический альвеолит — это заболевание, которое вызывается аллергической болезнью легких. Данное название произошло от того, что аллергическая реакция возникает не на слизистых оболочках, а конкретно в легких на их альвеолах.
Конечно же, аллерген в данном случае должен иметь настолько мелкие частички, чтобы при вдыхании он не мог задерживаться в носу, бронхах или трахеях, а попадал с потоком воздуха напрямую в легкие. Поэтому для того, чтобы определить, есть ли аллергия на попугаев, нужно проверить имеется ли у вашего организма негативная реакция на такой аллерген как птичий белок. И сделать такой анализ лучше перед тем, как завести попугайчика.
Что вызывает аллергические реакции?
- В основном аллергию на попугаев провоцируют белки – антигены, которые содержатся на самих перьях, а также в экскрементах данных птичек.
- Также вызывают аллергическую реакцию мелкие клещи, которые паразитируют на коже и перьях попугаев.
Когда такие антигены попадают на кожу либо в организм при вдыхании, эти белки-антигены оседают в дыхательных путях. Иммунная система человека, предрасположенного к аллергическим заболеваниям, сразу же воспринимает это не просто как загрязнение, а как серьезную угрозу и начинает с ними бороться.
Далее, чтобы быстрее очистить свой организм от аллергенов, иммунная система делает огромный выброс гистамина, а также других различных биологически активных веществ. В результате этого действия у человека возникает такое заболевание как аллергия.
Симптоматика аллергии на попугаев
- Появляется резкий отек кожи.
- Часто наблюдается отек слизистых оболочек, которые сдавливают кровеносные сосуды, а также образуется сильный бронхоспазм.
- Усиливается выделение защитного серозного секрета, который смывает чужеродные белки.
- Чиханье, а так же кашель наступают для того, чтобы удалить лишние инородные вещества при резком выдыхании потока воздуха.
- Покраснение глаз, слезотечение, а также зуд.
Наиболее сильное обострение таких симптомов, в основном, связано с непосредственным контактом человека с пером птицы: например при чистке клетки, или во время уборки лотка для еды, а также при прямом контакте с птицей. Ее проявления настолько не предсказуемы, что у каждого могут развиваться по-разному. Часто альвеолит в организме протекает очень медленно. Поэтому его сразу можно и не заметить.
Аллергические реакции у детей
Чаще всего аллергия на попугаев у детей возникает из-за белка, который находится на их перьях. Поэтому любимые ими попугайчики, как оказалось, очень часто могут стать причиной серьезного заболевания. Более того, альвеолит способен развиться и на других домашних птичек.
Стандартные симптомы заболевания у детей:
- Уплотнения на пораженных участках. Пораженные участки альвеол оказываются в итоге без воздуха. Ребенку становится тяжело вдыхать и выдыхать полной грудью.
- Происходит обструкция в бронхах и легких.
- Емкость легких уменьшается в три, а то и в четыре раза.
- Наступает нарушение циркуляции воздуха в организме.
- Появление кашля, который по истечению времени постоянно усиливается.
- Появляется одышка.
Ребенка, который склонен к аллергическим реакциям, при первых проявлениях аллергии нужно сразу же изолировать от действующего на него аллергена. Это поможет отчасти восстановить функцию дыхательных путей. Но, если своевременно не назначить лечение ребенку, аллерген продолжит действовать. В легких сразу же начнет разрастаться соединительная ткань, и со временем, она начнет замещать альвеолярную ткань. И эта ситуация будет уже не обратима.
Причины
Враждебным агентом по отношению к иммунной системе в данном случае является птичий белок.
Он распространяется по воздуху, когда попугай чистит перья в виде мельчайших частиц, которые легко попадают в дыхательные пути.
Также аллерген есть в составе:
Аллергия на попугаев, симптомы которой порой достаточно разнообразны, способна повлиять на здоровье людей всех возрастов. При этом совсем необязателен прямой контакт с этой птицей, так как аллерген способен долгое время находиться в воздухе или задерживаться в тканевых материалах, ворсе ковра и прочих местах.
Симптомы
Ввиду того, что данный вид антигена попадает в организм путем его вдыхания, аллергический ответ протекает респираторным образом. При этом у пациента должны наблюдаться следующие проявления:
Если аллерген длительно воздействует на организм, то могут наблюдаться и такие симптомы:
В случае возникновения аллергии на попугаев у детей симптомы нередко осложняются приступами астмы, которые выражаются в затруднении дыхания, кашле и приступах сильной одышки.
Одной из наиболее тяжелых форм протекания аллергии на белок попугая является альвеолит, причем острое течение этого заболевания больше характерно для детского возраста.
Возникает альвеолит при оседании большого количества аллергена в нижних частях дыхательных путей, в результате чего поражаются ткани легких и человек может задохнуться без соответствующей медикаментозной помощи.
Лечение
В первую очередь, перед покупкой декоративной птицы ребенку, следует позаботиться о проверке его организма на переносимость белка попугая. Если заболевание уже проявило себя, то применяется данная схема лечения:
Зная все признаки заболевания его легко можно предупредить и вылечить. Если вы успешно справились с аллергией на попугаев, можете оставить свой отзыв или контакты, чтобы поделиться своим опытом и помочь другим.
Причины аллергических реакций на ваших питомцев
После того как у вас самих или у ребенка проявляются характерные признаки недуга, то вы, скорее всего, сразу же обращаетесь за помощью к врачу. Ведь только он сможет достоверно определить причину появления реакции на какой-либо предмет, с которым вы ранее контактировали и предупредить о последствиях.
Кроме того, врач сможет не только ответить на заданный в начале этой статьи вопрос, но и рассказать о методах лечения болезни. Однако прежде чем мы перейдем к обсуждению профилактических методов необходимо понять, как проявляется аллергия на попугаев.
Чаще всего бывает так, что ее вызывают специальные белки (антигены) которые находятся в слюне питомца и его помете. Во время прихорашивания они попадают на его перьевой покров и могут стать причиной появившегося у вас раздражения.
Впрочем, это далеко не единственный пункт списка возможных причин. Не на последнем месте в нем стоят паразиты. А если говорить точнее, то продукты их жизнедеятельности. Так как по сути, именно они могут спровоцировать проявление характерных для недуга признаков.
Возникновение аллергии
В данном разделе мы напрямую подошли к описанию процесса появления характерных для недуга симптомов.
Благодаря информации из предыдущего раздела вы узнали о причинах появления характерных реакций организма, но не о подробностях, почему они возникают у того или иного человека. В то же время — это довольно существенный нюанс не обращать внимания на который нельзя.
Так вот, упомянутый белок или продукты жизнедеятельности обосновавшихся у вашего пернатого подопечного паразитов, довольно легки и запросто могут распространиться по всему помещению. Оседая не только на одежде или каких-либо предметах обихода, но и попадая в дыхательную систему человека.
В этот то момент организм некоторых людей воспринимает перечисленные факторы как самую настоящую угрозу и начинает вырабатывать гистамин и прочие вещества, призванные бороться с появившейся угрозой. Подобная активность вашего организма и становится той самой причиной, по которой у вас проявляется недуг.
Симптомы
Аллергия на попугаев у детей и их родителей может проявиться целым рядом симптомов речь о которых и пойдет в данном разделе статьи.
В первую очередь вы можете столкнуться с характерным для недуга покраснением глаз и появившимся, казалось бы, из ниоткуда зудом. Впоследствии наверняка начнут проявляться и прочие симптомы. Такие, как – постоянные приступы чихания, отечность, характерный для простуды насморк, приступы нехватки кислорода и кашель.
Причем на вопрос может ли быть аллергия с каким-либо одним из указанных признаков стоит ответить отрицательно. Обычно недуг проявляется как комплекс вышеперечисленных симптомов, которые и дают понять с чем вы имеете дело. Впрочем, если вам интересно, то стоит рассмотреть разновидности недуга более подробно.
Разновидности аллергических реакций организма
Альвеолит
Данная разновидность недуга одна из наиболее малоприятных. Связана же она с тем, что аллергия проявляется довольно необычной формой. А если говорить точнее, то в виде затрудненного дыхания.
Подобная болезнь легких нередко требует стационарного лечения. Что в свою очередь, осложняет весь процесс лечения. Ведь вам придется отказаться от своих повседневных дел и посвятить себя процессу выздоровления.
К тому же это еще не все с чем вам придется столкнуться. Подобная разновидность недуга более чем красноречиво говорит вам о том, что вам придется отказаться от содержания пернатых питомцев. Сам же процесс лечения довольно затяжной.
Конъюнктивит
Пожалуй, эта одна из наиболее частых форм недуга. Если у вас есть характерные для него признаки в виде покраснения глаз и зуда, то вы подвержены перечисленным выше аллергическим реакциям на какой-либо аллерген.
Однако это одна из наиболее легких форм болезни и справиться с ней удается очень просто. Попробуйте на время отдать своего попугая каким-либо друзьям или родственникам. Если за время его отсутствия ваше состояние нормализуется, то, скорее всего, он и был причиной вашего недомогания.
Для того же чтобы недуг не вернулся, вам придется отказаться от содержания в домашних условиях птиц.
Ринит
Существует данный недуг уже давно и в случае, когда он проявляется в виде характерных реакций на пернатых, вас ожидает постоянно заложенный нос, насморк и частое чихание. Причем если не предпринимать совершенно никаких действий и думать, что болезнь пройдет, то состояние только ухудшится.
Первые действия при обнаружении аллергии на птиц
Если у вас появились какие-либо симптомы характерные для описываемого в данной статье недуга, то стоит сразу же предпринимать ряд действий.
Во-первых, вы должны незамедлительно устранить источник угрозы. В данном случае имеется в виду тот факт, что вам придется расстаться со своим попугайчиком, отказавшись от его дальнейшего содержания.
Во-вторых, следует сразу же обратиться к врачу для определения точной причины аллергических реакций организма и начать процесс лечения.
В-третьих, необходимо будет провести внутри вашей квартиры или дома генеральную уборку.

